![]() |
Cenangium ferruginosumFries (1818) |
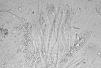
![]() |
![]() | ![]() |
Ascomycota / Leotiomycetes / Helotiales / Helotiaceae
Peziza cervina Persoon (1801), Synopsis methodica fungorum, p. 647
Peziza abietis Persoon (1801), Synopsis methodica fungorum, p. 671
Cenangium ferruginosum Fries (1818), Kongl. vetenskaps akademiens handlingar, 1818, p. 361 (Basionyme) Sanctionnement : Fries (1822) (nom actuel)
Triblidium pineum var. ß strobilina (Albertini & Schweinitz) Persoon (1822), Mycologia europaea, seu complet omnium fungorum in variis europaeae regionibus detectorum enumeratio, 1, p. 332
Triblidium pineum Persoon (1822), Mycologia europaea, seu complet omnium fungorum in variis europaeae regionibus detectorum enumeratio, 1, p. 332
Cenangium abietis (Persoon) Duby (1830), Botanicon gallicum seu synopsis plantarum in flora Gallica, Edn 2, 2, p. 736
Peziza pinicola Lasch (1857), in Rabenhorst, Klotzschii herbarum vivum mycologicum, Edn 2, n° 508 (nom. illegit.)
Dothichiza ferruginosa Saccardo (1884), Sylloge fungorum omnium hucusque cognitorum, 3, p. 672
Dermatea pini W. Phillips & Harkness (1884), Grevillea, 13(65), p. 22 (nom. illegit.)
Cenangium abietis var. olivaceonigraRehm (1889), Rabenhorst's kryptogamen-flora von Deutschland, Oesterreich und der Schweiz, Zweite Auflage, Pilze, 1(3), p. 227
0.3-0.4
Sans intérêt
Ellis p. 182 fig. 801 ; Dennis p. 137 pl. XVIIIe ; Gr. p. 155 n° 1013 ; Bibliographie de Jacques Trimbach ; Fiches de Jean Mornand
Grégaire. Assez fréquent. D'Avril à Juin et d'Août à Décembre.
Pour vous accompagner lors de vos sorties mycologiques, MycoDB vous recommande les guides suivants :