|
|
|
|
Nous sommes le 29 Octobre 2025, 12:09
|
Voir les messages sans réponses | Voir les sujets actifs
|
Page 1 sur 1
|
[ 1 message ] |
|
| Auteur |
Message |
|
Michel
Inscription: 21 Septembre 2009, 17:54 Messages: 562 Localisation: Bourgogne. 71 - Le Breuil
|
 Hebeloma
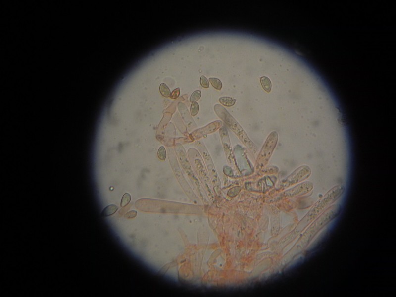
Bonjour, Hier nous avons récolté cet hébélome dans la forêt domaniale de La Planoise, parmi les sphaignes dans un fossé sous conifères. Chapeau diam. 3cm, brun clair uniforme, très visqueux. Stipe 0,7 x 7 cm, blanc jaunâtre soyeux, bulbeux. Lames à pleurs laiteux. Spores 5,1 x 10,2 µ , Cystides cylindriques 5,5 x 70 µ. Nous avons trouvé que H.incarnatulum convient très bien (cf. Vesterholt p.66). De même sur le site "champignons du Quebec". Nous avions même créé une fiche (que nous avons supprimée ensuite) pour mettre cette récolte, mais un hic important : les spores de notre récolte ne sont pas dextrinoïdes. Avez-vous d'autres pistes ? Michel & Danielle
Fichiers joints:
HebelomaIncarnatulum2-redim800.JPG [ 49.06 Kio | Vu 27126 fois ]
HebelomaIncarnatulum1-redim800.jpg [ 106.88 Kio | Vu 27126 fois ]
|
| 18 Octobre 2020, 11:46 |
|
|
|
Page 1 sur 1
|
[ 1 message ] |
|
Qui est en ligne |
Utilisateurs parcourant ce forum: Aucun utilisateur enregistré et 85 invités |
|
Vous ne pouvez pas poster de nouveaux sujets Vous ne pouvez pas répondre aux sujets Vous ne pouvez pas éditer vos messages Vous ne pouvez pas supprimer vos messages Vous ne pouvez pas joindre des fichiers
|
|